
1) Rosario R. nació el 15/02/2004. Tiene la vacunación BCG, DPT-Hib, DPT
antipoliomielítica completa y dos dosis de vacuna doble viral: 20/12/2005 y
16/11/2009. Concurre hoy y Ud. Al constatar lo citado considera que:
a) Tiene el calendario de vacunación completo para le edad
b) Debe recibir una dosis de vacuna triple viral (SRP)
c) Debe recibir una dosis de SRP + esquema completo para hepatitis B (HB) +
una dosis de vacuna hepatitis A (HA)
d) Debe recibir dos dosis de SRP + esquema completo para hepatitis B (HB)
2) La tiña microspórica se caracteriza por presentar:
a) Grandes placas con pelos fracturados a la misma altura, cubiertas con
escamas, es ectotrix y fluorescente a la luz de Word
b) Pequeñas placas con pelos fracturados a distintas alturas, escamas, es
endotrix y no fluorece a la luz de Word
c) Cicatriz y alopecia en la placa luego del tratamiento
d) Una placa supurada con numerosos orificios de los cuales a la presión sale
un exudado espeso como el pus
3) En el examen genital de una mujer abusada es muy importante establecer la
diferencia entre una escotadura normal del borde himeneal y el desgarro del
himen producto del abuso. Los siguientes elementos corresponden a una lesión
por desgarro, excepto uno. Márquelo:
a) Distribución asimétrica
b) Bordes irregulares
c) Coaptación exacta de los bordes
d) Bordes angulosos
4) Según Menéndez en “Modelo Hegemónico, crisis socioeconómica y
estrategias de acción del sector salud” las medidas básicas que cuestionarían o
establecerían una alternativa distinta al modelo dominante ponen énfasis en:
a) El primer nivel de atención y planificación estratégica
b) El saneamiento ambiental y aumento del presupuesto en salud
c) La atención primaria, participación comunitaria y descentralización de los
servicios.
d) Generar programas sanitarios con objetivos selectivos.
5) La ateriosclerosis periférica es un factor de riesgo importante para
cardiopatía isquémica. La toma de presión arterial para calcular el índice tobillobrazo
es de utilidad para reflejar el grado de arteriopatía obstructiva de las
extremidades inferiores y valorar el riesgo cardiovascular. Al respecto señale la
premisa correcta:
a) Un valor en reposo menor de 0.9 se considera anormal
b) Un valor en reposo menor de 1.5 se considera anormal
c) Su valor es directamente proporcional a la gravedad de la enfermedad
d) Un valor en reposo menor de 0.5 se considera anormal
6) ¿Qué imagen colposcópica le hace sospechar la posible existencia de un
carcinoma preclínica de cuello uterino?
a) Mosaico con campos asimétrico
b) Zona acetoblanca extensa
c) Ulceración
d) Mosaico marginal
7) Un varón de 2 meses presenta tumefacción en la zona inguinal derecha. No
ha tenido fiebre, pero ha estado irritable y ha vomitado con frecuencia. El
exámen físico revela una masa firme y fija en el anillo inguinal externo,
dolorosa a la palpación. ¿Cuál es el diagnóstico más probable?
a) Epididimitos aguda
b) Hidrocele agudo
c) Hernia inguinal atascada
d) Varicocele
8) En Argentina, el Síndrome Urémico Hemolítico es endémico y constituye la
primer causa orgánica de insuficiencia renal aguda en el lactante. En lo que se
refiere a este síndrome, solo uno de los siguientes enunciados es correcto.
a) En nuestro país se producen alrededor de 500 casos nuevos por año y los
niños afectados son fundamentalmente menores de 5 años, de ambos sexos.
b) La enfermedad está distribuida en todo el país y se registran casos durante
todo el año, pero la frecuencia es mayor en las provincias del centro y sur
durante los meses fríos.
c) La mortalidad no ha disminuido en las últimas décadas, a pesar del
diagnóstico precoz de la enfermedad y la instauración temprana de diálisis en
los casos con oliguria severa o anuria.
d) En nuestro país, en la infancia, es más frecuencia que la infección urinaria.
9) Las fracturas del calcáneo se producen por lo general por:
a) Rotación externa forzada
b) Supinación y rotación interna
c) Flexión dorsal brusca
d) Calda de altura
10)Joaquín R. nació el 15/2/1998. Tiene una vacunación BCG, DPT-Hib, DPT y
antipoliomelítica completa (última dosis a los 6 años), una dosis de vacuna
antisarampionosa: 20/11/1998 y dos dosis de vacuna doble viral (sarampión
rubéola, [SR]) el 20/10/1999 y 28/06/2004. Concurre hoy y ud. al constatar lo
citado considera que:
a) Tiene el calendario de vacunación completo para la edad
b) Debe recibir una dosis de vacuna doble bacteriana (dT)
c) Debe recibir una dosis de SRP + esquema completo de vacuna hepatitis B
d) Debe recibir una dosis de SRP + una dosis de dopa + esquema completo
para Hepatitis B
11)La forma más agresiva del epitelioma basocelular infiltrante es:
a) Plano cicatricial
b) Esclerodermiforme
c) Terebrante o ulcus rodens
d) Úlcero-vegetante
12) En relación a las hernias inguinales, seleccione el enunciado correcto:
a) La variedad indirecta penetra el orificio inguinal profundo y puede
exteriorizarse a través del orificio inguinal superficial.
b) La variedad directa es la forma más frecuente tanto en el hombre como en
la mujer.
c) La hernia atascada u obstruida es aquella en la que está perturbada la
vascularización de la pared intestinal con lo cual se halla en juego su vitalidad.
d) La tendencia familiar a padecerla puede alcanzar al 50% o más cuando se
pregunta sobre su existencia entre sus progenitores y abuelos.
13)La Declaración final de la Conferencia Mundial de Derechos Humanos de
Viena (1993) afirma que:
a) Todos los derechos humanos son universales, indivisibles e
interdependientes y están relacionados entre sí.
b) Los derechos civiles y políticos tienen prioridad sobre los económicos,
sociales y culturales.
c) Los derechos a la alimentación, a la salud y a la educación son de vital
importancia en relación a los derechos civiles y políticos.
d) Todos los derechos humanos son universales, naturales e individuales.
14)La esteatosis hepática no alcohólica, es una enfermedad vinculada a la
resistencia a la insulina y a otros componentes del síndrome metabólico como
HTA, Dislipemia y Obesidad. Al respecto señale el enunciado correcto:
a) La ecografía hepática en estos pacientes es normal.
b) Es de evolución benigna y no evoluciona a la cirrosis.
c) Se identifica habitualmente por el descubrimiento accidental de enzimas
hepáticas elevadas.
d) Se presenta clínicamente con ictericia y hepatomegalia.
15)En lo que se refiere al Dengue, ¿cuál de los siguientes conceptos es
correcto?
a) La infección por Dengue puede ser clínicamente inaparente o asistomática,
en una alta proporción de las personas infectadas.
b) El período de incubación es prolongado y suele ser de 15 a 21 días
c) Las infecciones sintomáticas evolucionan siempre a formas graves con
hemorragias, derrames y shock.
d) Los casos de Dengue grave son menos frecuentes en personas que ya
padecieron Dengue por un serotipo (infección primaria) y se infectan
nuevamente (infección secundaria) con un serotipo diferente al que le ocasionó
el primer cuadro.
16)Usted se encuentra evaluando a un lactante de 9 meses de vida que
presenta un cuadro clínico de 20 horas de evolución caracterizado por el dolor
abdominal tipo cólico, masa abdominal palpable y deposiciones color jalea de
grosellas. La ecografía abdominal muestra una masa tubular compatible con
Invaginación Intestinal. ¿Cuál de las siguientes opciones considera que
representa la conducta más adecuada a adoptar en primer término?
a) Enema a presión bajo control radioscópico o ecográfico.
b) Laparoscopía.
c) Resección quirúrigica.
d) Reducción quirúrgica.
17)En un niño, ¿cuál de las siguientes características no corresponde a un soplo
funcional, inocente o fisiológico?
a) Soplos producidos por turbulencia o vibración de la sangre en una estructura
cardíaca, sin frémitos.
b) Se pueden auscultar desde el período neonatal, pero en su mayoría
aparecen niños mayores de 2 años y se observan hasta la adolescencia.
c) Pueden estar asociados a presencia de frémito, clic protosistólico y
mesosistólico y segundo ruido cardíaco anormal.
d) Son de baja intensidad y se incrementan con la fiebre, la anemia y el
ejercicio físico.
18)¿Qué complicaciones pueden aparecer en el impétigo estreptocóccico?
a) Meningitis
b) Nefritis
c) Endocarditis
d) Septicemia
19)María J., 18 años, embarazada de 28 semanas concurre a control con el
resultado de la serología para Enfermedad de Chagas: aglutinación del látex
reactivo e inhibición de la hemaglutinación 1/64, realizada 3 semanas atrás.
a) Ud. interpreta este resultado como positivo y recomienda la consulta para
iniciar el tratamiento específico.
b) Considera que debe repetirse la determinación + IgM específica
inmediatamente.
c) Considera que debe repetirse la determinación y una de las pruebas debe
ser inmunofluorescencia (TIF) o enzimoinmunoensayo (ELISA).
d) Indica realizar con urgencia las siguientes determinaciones TIF o ELISA +
IgM + método de Strout.
20)Las cefalosporinas son antimicrobianos que se utilizan ampliamente en la
terapéutica de enfermedades infecciosas. Indique la opción correcta con relación
a estos fármacos:
a) Las cefalosporinas de 3ª generación son eficaces aún frente a neumococos
resistentes a penicilina.
b) La Ceftriaxona muestra una adecuada penetración al LCR y es eficaz en
adultos y niños de más de tres meses de edad.
c) La Cefazolina se prefiere a las de 2ª generación como profilaxsis contra
anaerobios intestinales en cirugía colorectal.
d) Las cefalosporinas de 2ª generación tienen mayor activida que las de 3ª
generación contra Streptococo Pneumoniae resistente a penicilina.
21)En un cuadro de peritonitis aguda del adulto el diagnóstico clínico suele
verse apoyado por estudios de imágenes. En ese sentido la radiografía simple
de abdomen de pie y en decúbito dorsal es generalmente suficiente para el
planteo terapéutico y la indicación quirúrgica. Indique cuál de los siguientes
signos no corresponden a una radiografía en decúbito dorsal.
a) Grado de dilatación de las asas
b) Edema visceral
c) Derrames pelvianos
d) Borramiento del psoas.
22)Ramón Carrillo en “Teoría del Hospital” afirma que el problema de la salud
es una materia de Estado en tanto el Estado se constituya como:
a) Agente de ordenamiento social.
b) Organizador de la asistencia médica.
c) Agente racionalizador del sector público.
d) Organización política de la sociedad para el bien común.
23)Un paciente de 68 años consulta por dolor lumbar, síntomas urinarios bajos
y fiebre de 48 hs de evolución. Presenta antecedentes de adenoma de próstata.
En el examen físico se detecta temperatura axilar 39ºC; FC 120/min; FR 30/min
y TA 80/50 mm Hg. A la hora de iniciado un tratamiento agresivo con líquido
por vía parenteral, el paciente eleva la TA a 100/70 mm Hg. El paciente es
definido como portador de:
a) Septicemia.
b) Septicemia grave.
c) Choque séptico.
d) Choque séptico resistente a tratamiento.
24)Para llegar al diagnóstico Delirium en un paciente, en la evaluación
semiológica deberíamos objetivar como síntoma principal:
a) Presencia de inquietud psicomotriz.
b) Estado de ánimo displacentero.
c) Incapacidad para atender.
d) Delirios persecutorios.
25) Usted se encuentra evaluando en la Guardia de su Hospital a un niño de 3
años de edad que es traído a la consulta por presentar diarrea y vómitos. Al
examen clínico observa un paciente pálido, obnubilado, taquipneico (45 RPM),
taqucárdico (150 LPM), una presión areterial de 88/64 mm Hg. El relleno capilar
es de 6 segundos y los pulsos periféricos son débiles. Luego, de administrar
oxígeno al 100% a razón de 10 L/minuto y obtener un acceso vascular. ¿Cuál
de las siguientes opciones considera más adecuado adoptar inmediatamente?
a) Administrar de cristaloides a dosis de 100 ml/kg/día.
b) Administrar Solución Fisiológica a razón de 20 ml/Kg.
c) Administrar Dopamina a razón de 2 ?g/kg/minuto.
d) Administrar Adrenalina a razón de 0,05 ?g/kg/minuto.
26)Un adolescente de 15 años, hijo de padres de talla mediana, consulta por su
baja estatura. Su edad ósea es de 13 años y presenta signos de desarrollo
puberal incipiente. Su talla se ubica en el percentilo 3 y en el último año creció
5 cm. El diagnóstico probable es:
a) Insuficiencia tiroidea.
b) Enfermedad del sistema esquelético.
c) Adolescente normal con maduración lenta.
d) Enfermedad Celíaca.
27) Según la Sociedad Argentina de Pediatría, en relación con las tasas de
mortalidad, uno de los siguientes enunciados es incorrecto. Identifique cual.
a) Tasa de mortalidad neonatal: Relaciona las defunciones anuales de niños
menores de 28 días de vida con el número de nacidos vivos del mismo año y se
expresa por 1.000 nacidos vivos.
b) Tasa de mortalidad postneonatal: Relaciona las defunciones anuales de
niños mayores de 27 días y menores de un año de vida con el número de
nacidos vivos del mismo año y se expresa por 1.000 nacidos vivos.
c) Tasa de mortalidad en menores de 5 años: Relaciona las defunciones
anuales de menores de cinco años con los nacidos vivos del mismo año y se
expresa por 1.000 nacidos vivos.
d) Tasa de mortalidad infantil: Relaciona la suma de las tasas de mortalidad
prenatal, neonatal, postneonatal y de menores de 5 años. Se expresa por 1.000
nacidos vivos.
28)Ud. recibe hoy en el Servicio de Emergencia a una gestante de 33 semanas
en trabajo de parto. Presenta análisis que indican que es seronegativa para la
infección por VIH y T. pallidum en la determinación realizada bajo
Consentimiento Informado el 28/10/2009. Considera que:
a) Están acorde con las Recomendaciones vigentes.
b) Debe reiterar los estudios sexológicos de urgencia.
c) Debe reiterar esos estudios serológicos y completar el tamizaje.
d) Debe completar mínimamente con los estudios sexológicos para T. cruzi, T.
gondii y citomegalovirus.
29)En un paciente diabético tipo 1 con microalbuminuria usted indica
inhibidores de la enzima convertidota de angiotensina (IECA):
a) Solo si hay hipertensión porque son los únicos fármacos eficaces en
diabéticos.
b) Si hay hipertensión y no se consigue normalizarla con drogas que no
disminuyan la filtración glomerular.
c) Siempre, ya que retrasan la evolución de la neuropatía, salvo que existan
contraindicaciones.
d) Nunca, porque están contraindicadas en pacientes diabéticos.
30)Los tumores de la cavidad oral representan el 5% del total de los tumores
en los hombres y el 2% en la mujer, con un incremento en estas últimas
fundamentalmente asociado al hábito de fumar. ¿Cuál es la localización más
frecuente de los tumores malignos de lengua?
a) Punta
b) Dorso
c) Borde lateral
d) Cara ventral
31)Maglio, en “Determinante Sociales de la salud y la enfermedad”, sostiene
que la salud como derecho humano personalísimo implica:
a) El máximo de recursos destinados a políticas de salud.
b) Tener en cuenta la identidad socio-cultural del paciente.
c) La intervención activa del Estado para asegurar la promoción y protección de
la salud y la atención de la enfermedad.
d) Recibir atención de excelencia.
32) Joaquín tiene 35 días de vida. No ha aumentado de peso en los últimos 10
días y presenta una deshidratación del 6%. Según referencia de sus padres
comenzó hace 2 semanas con vómitos alimentarios, no biliosos, de intensidad
creciente. El medio interno constata la presencia de alcalosis metabólica
hipoclorémica hipopotasémica. La urea está discretamente elevada. ¿Cuál de los
siguientes es, según los datos disponibles, el diagnóstico más probable en este
paciente?
a) Insuficiencia adrenal.
b) Insuficiencia renal aguda.
c) Estenosis hipertrófica del píloro.
d) Síndrome de secreción inadecuada de hormona antidiurética.
33)¿Cuál de las siguientes consignas sobre factores de riesgo de suicidio es
falsa?
a) La tasa de suicidio de las personas de edad avanzada es mayor que la de la
población general.
b) Los hombres se suicidad mas que las mujeres y esta diferencia se acentúa
con la edad.
c) Cuanto mayor es la edad, mayor es el riesgo de que el paciente deprimido
se suicide.
d) La personalidad dominante, rígida, inflexible y orgullosa resulta ser un factor
de protección del suicidio.
34)¿Cuál de los factores que se enumeran a continuación tiene real importancia
epidemiológica en mujeres que pueden padecer un carcinoma de endometrio?
a) Hipertensión arterial
b) Obesidad
c) Diabetes
d) Desnutrición
35)La recepción del Recién Nacido debe hacerse en un ambiente acorde. Se
denomina zona térmica neutra a aquella en la que el consumo de oxígeno es:
a) Mínimo y suficiente para mantener la temperatura corporal.
b) Mínimo y suficiente para mantener una tasa metabólica alta.
c) Alto para compensar una tasa metabólica alta,
d) Mínimo y suficiente para mantener la volemia.
36)En relación a la Mortalidad Materna, indique el enunciado correcto.
a) Es la defunción de una mujer mientras está embarazada o dentro de los 42
días siguientes a la terminación del embarazo, independientemente de la
duración y el sitio del embarazo.
b) Es la defunción de una mujer mientras está embarazada debido a cualquier
causa relacionada con o agravada por el embarazo mismo o si atención, aún por
causas accidentales o incidentales.
c) Las causas de Mortalidad Materna son difícilmente reducibles con acciones
de promoción y prevención de la salud, de preconcepción, de control del
embarazo, del parto y del puerperio inmediato.
d) En nuestro país, la Mortalidad Materna ha tenido una notable reducción y se
cumplirán los Objetivos del Milenio para el año 2015, con una cifra cercana a la
suscripta en este compromiso internacional.
37)El grupo prioritario en Argentina para la vacunación monovalente contra la
influenza pandémica H1N1 2009 en el año 2010 es:
a) Trabajadores de salud, gestantes y puérperas.
b) Niños de 6 meses a 4 años inclusive, gestantes e inmunocomprometidos.
c) Obesos mórbidos de 5 a 64 años, personas con enfermedad pulmonar,
cardíaca crónica, diabéticos.
d) Personas inmunocomprometidas, con enfermedad renal/hepática crónica, en
tratamiento crónico con ácido acetilsalisílico.
38)Uno de los siguientes fármacos debería usarse con precaución ya que puede
inducir o agravar un parkinsonismo.
a) Metoclopramida.
b) Amiodarona.
c) Diacepam.
d) Fluoxetina.
39)Frente a un paciente que ha sufrido un traumatismo cerrado de abdomen,
casi siempre se debe recurrir a métodos complementarios de estudio que nos
indique la necesidad de realizar una laparotomía. Indique cuál de los siguientes
es el método mas sensible o “metro patrón” para detectar la presencia de
sangrado intra-peritoneal.
a) Punción Abdominal.
b) Lavado peritoneal.
c) Ecografía
d) Tomografía Axial Computada.
40)Según Menéndez en “Modelo Hegemónico, crisis socioeconómica y
estrategias de acción del sector de salud”: ¿a qué contribuye el dominio de las
prácticas curativas en el marco de la hegemonía de la práctica médica
científica?:
a) A elevar los niveles de salud de la población.
b) A elevar el nivel de desarrollo económico social.
c) A la erradicación de enfermedades transmisibles.
d) A la industria de la salud.
41) En una investigación epidemiológica: ¿Qué define el tipo de estudio (diseño)
a realizar?
a) El marco teórico.
b) Los objetivos del estudio.
c) La población a estudiar.
d) Las variables a medir.
42)¿Cuál de los siguientes signos y síntomas NO se halla presente durante un
episodio depresivo mayor típico?
a) Anergia.
b) Trastornos del sueño (insomnio o hipersomnia)
c) Desvío de la atención hacia estímulos externos irrelevantes.
d) Disminución de la capacidad para pensar o concentrarse.
43)La infección latente por HPV del cuello uterino se puede evidenciar por:
a) Citología.
b) Colposcopía.
c) Hibridización.
d) Biopsia.
44)Ingresa al Servicio de Neonatología un recién nacido con diagnóstico de
neumonía. Su peso de nacimiento fue de 2400 gramos y su edad gestacional 38
semanas. De acuerdo a la clasificación de los recién nacidos por peso de
nacimiento, el mismo estaría incluido en el grupo de recién nacidos:
a) Extremadamente bajo peso al nacer.
b) Muy bajo peso al nacer.
c) Bajo peso al nacer.
d) Micronato.
45) En lo que se refiere a las infecciones respiratoria bajas (IRAB) en Pediatría y
en la Argentina, solo uno de los enunciados es correcto:
a) Una proporción elevada de los lactantes que fallecieron por IRAB habían sido
atendidos por los servicios de salud en los días previos a su muerte.
b) Las infecciones respiratorias constituyen una de las causas de mayor
importancia de mortalidad, reducibles solo por acciones de rehabilitación.
c) El decremento de la mortalidad por IRAB ha sido muy superior al observado
en el mismo período por las causas perinatales, que requieren para su reducción
de tecnología más compleja.
d) Las dos patologías que más frecuentemente se relacionan a la mortalidad
infantil por IRAB en la casi totalidad de los casos son afecciones congénitas del
pulmón y neumonías.
46)El diagnóstico de Dengue se confirma con:
a) La determinación de NS1 y RNA antes del 5to día del inicio de la fiebre.
b) Una determinación de IgM específica después del 5to día de fiebre.
c) Una determinación de IgM e IgG específica después del 5to día de fiebre.
d) La determinación de IgM e IgG en el par serológico.
47)Los siguientes constituyen signos y síntomas de hipotiroidismo del adulto.
Indique cuál de ellos es el más relevante por observarse con mayor frecuencia:
a) Ronquera
b) Aumento de peso
c) Sequedad de piel
d) Estreñimiento
48)Se define como uveítis a la inflamación de cualquier componen interno del
ojo y en su conjunto son afecciones de gran impacto para la salud visual. Inque
cuál de los siguientes fenómenos corresponde ala uveítis anterior aguda:
a) Sinequias
b) Escleritis
c) Coroiditis
d) Retinitis
49)Según el documento “Derechos Humanos y Gestión Pública en Salud” el
Comité de Derechos Económicos Sociales y Culturales sostiene que existen
criterios desde los cuales evaluar el respeto del derecho a la protección de la
salud. Ellos son:
a) Disponibilidad, accesibilidad, equidad y calidad.
b) Disponibilidad, accesibilidad, aceptabilidad y calidad.
c) Excelencia, accesibilidad y equidad.
d) Integralidad, legitimidad y calidad.
50)Durante el análisis descriptivo de los datos, la frecuencia relativa de los
valores de una variable se expresan como:
a) Razón
b) Proporción
c) Índice
d) Tasa
51)Defina los objetivos de tratamiento en pacientes con diabetes tipo 2:
a) Glucemia en ayunas menor a 140 mg/dl, glucemia postprandial menor a 180
mg/dl, HbA1c menor de 6,5 %.
b) Glucemia en ayunas menor a 130 mg/dl, glucemia postprandial menor a 180
mg/dl, HbA1c menor de 7 %.
c) Glucemia en ayunas menor a 120 mg/dl, glucemia postprandial menor a 140
mg/dl, HbA1c menor de 7 %.
d) Glucemia en ayunas menor a 130 mg/dl, glucemia postprandial menor a 180
mg/dl, HbA1c menor de 6 %.
52)¿Cuál es la causa más frecuente de infertilidad femenina?
a) Fallas en la ovulación.
b) Factor cervical.
c) Patología tubaria.
d) Factor peritoneal.
53)Gastón tiene 6 meses de edad, se alimenta a pecho exclusivo a libre
demanda. EL crecimiento es adecuado para su edad y es el momento oportuno
para introducir la alimentación complementaria. Una de las características de la
misma es aportar una densidad energética adecuado. ¿Entre qué valores debe
encontrarse dicha densidad energética?
a) Densidad energética entre 45 y 60 cal/100 gr.
b) Densidad energética entre 65 y 80 cal/100 gr.
c) Densidad energética 85 y 100 cal/100 gr.
d) Densidad energética entre 105 y 120 cal/100 gr.
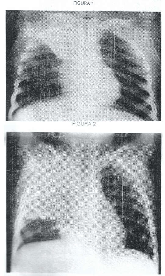
54)En la imagen radiológica de la figura 1 (ver Anexo) observamos:
a) Una imagen de condensación pulmonar que no respeta límites anatómicos.
b) Una imagen que aumenta el volumen del lóbulo o segmento condensado.
c) Un desplazamiento del mediastino hacia el lado opuesto de la condensación.
d) Retracción de las cisuras y del hemidiafragma hacia la imagen de
condensación.
55)La quimioprofilaxis con oseltamivir para la influenza pandémica H1N1 2009
está indicada en el personal del equipo de salud:
a) De rutina.
b) Sólo las personas con alto riesgo para las complicaciones de influenza.
c) Sólo cuando no trabajó con bioseguridad y tuvo alta exposición a un caso
sospechoso o confirmado.
d) Solo cuando no trabajó con bioseguridad, tiene factores de riesgo para las
complicaciones de influenza y tuvo alta exposición a un caso sospechoso o
confirmado.
56)¿Por qué motivo realizamos la maniobra de Landivar en una hernia inguinal
de un paciente de sexo masculino?
a) Para determinar si es reductible.
b) Para determinar si es coercible.
c) Para determinar si es directa o indirecta.
d) Para determinar si la hernia está deslizada.
57)La Diabetes es la principal causa de ceguera en personas de 25 a 65 años
con una probabilidad 25 veces mayor que el resto de la población. En la
fisiopatogenia de la retinopatía diabética ¿cuál de los siguientes elementos
induce la producción de nuevos vasos o neovascularización?
a) Agregación plaquetaria.
b) Hemorragias.
c) Exudados
d) Isquemia retinal.
58)El familiar directo de un paciente solicita la Historia Clínica (con autorización
expresa del paciente) al profesional a cargo de la atención del mismo. ¿Cuál
sería la acción a seguir según la Ley Nacional 26.529 de Salud Pública Derechos
del Paciente en su relación con los profesionales e instituciones de la salud?:
a) Solicitar la autorización del Jefe de Servicio como requisito previo a extender
una copia.
b) Solicitar autorización judicial como requisito previo a extender una copia.
c) Otorgar resumen de Historia Clínica argumentando que la misma es un
documento inviolable y debe permanecer en la institución.
d) Otorgar copia de la misma autenticada por autoridad competente.
59)El cuartel es una medida de:
a) Frecuencia.
b) Tendencia central.
c) Orden.
d) Dispersión.
60)Una paciente de 56 años consulta por cansancio y sequedad de la piel. En
los estudios complementarios se observa TSH 0,5 mu/l y T4 libre 0,2 ng/dl.
¿Cuál es la interpretación?
a) Hipotiroidismo primario.
b) Hipotiroidismo secundario.
c) Eutiroidismo.
d) Hipertiroidismo subclínico.
61)Si un paciente con antecedentes de Enfermedad Pélvica Inflamatoria (EPI) le
consulta sobre métodos anticonceptivos, ¿cuál NO aconsejaría?
a) Preservativo.
b) DIU.
c) Anticoncepción hormonal.
d) Diafragma.
62)Un lactante de 7 meses y medio de edad que recibe lactancia materna viene
a la consulta. ¿Cuál es el número de comidas diarias que debe recomendarse de
acuerdo a la edad de niño?
a) Leche materna a demanda, mas 1 comida.
b) Leche materna a demanda, mas 2 comidas.
c) Leche materna a demanda, mas 3 comidas.
d) Leche materna a demanda, mas 4 comidas.
63)En la imagen radiológica de la figura 2 (ver anexo) observamos:
a) Imagen de condensación pulmonar que respeta límites anatómicos.
b) Imagen de hiperaereación pulmonar que disminuye el volumen pulmonar.
c) Imagen micronodular pulmonar bilateral.
d) Imagen de opacificación pulmonar con nivel hidroaéreo.
64)En la luxación anterior del hombro (glenohumeral) el signo más típico es:
a) Posición fija en extensión del brazo.
b) Deformidad en charretera del hombro.
c) Gran hematoma en cara interna del toraz.
d) Signo de la tecla.
65)Una paciente de 21 años es llevada a un servicio de emergencia por diarreas
abundantes. Refiere ingesta de una comida muy condimentada 24 hrs antes. Su
pulso es 120/min – TA 90/40. Se realiza laboratorio que revela: Hto 50%
Glóbulos Blancos 105000 por mm3 (88% neutrófilos) – Uremia 100mg%
creatinina 1,6mg% sodio sérico 130mE/l potasio sérico 3,5mEq/l, orina:
proteinuria negativo, sangre negativo, sedimento leucocitos 3×400 hematíes
1×400 células 4×400, sodio en orina 25mEq/l, potasio 20mEq/l, urea 1200mg%,
creatinina 80mg%. ¿Cuál de las siguientes sería la causa más probable?
a) Glomerulonefritis aguda.
b) Necrosis tubular aguda.
c) Nefritis intersticial.
d) Deshidratación.
66)Ud es el médico de cabecera de un paciente de 32 años que le manifiesta
que a pesar de ver bien se le “cansa la vista” al final del día, tiene dificultades
para leer y a veces cefaleas. Ante estos elementos ud. piensa que se encuentra
frente a uno de los siguientes problemas:
a) Miopía.
b) Astigmatismo.
c) Hipermetropía.
d) Presbicia.
67)Ramón Carrillo en “Teoría del Hospital” afirma que:
a) La salud no es, en sí misma y por sí misma, el bienestar, pero sí una
condición ineludible del bienestar.
b) El cuidado de la salud depende fundamentalmente de la implementación de
acciones orientadas a elimiar los factores directos de la enfermedad.
c) El capital invertido por el Estado en el cuidado de la salud se contrapone a
los valores que promueve la medicina fundada en la caridad, solidaridad y
filantropía.
d) El cuidado de la salud depende de la implementación de acciones
focalizadas.
68) ¿Cuál de las siguientes opciones corresponde a una medida de asociación
entre variables?:
a) Incidencia.
b) Odds ratio.
c) Riesgo
d) Valor de p.
69)Un paciente de 56 años de edad, fumador de 40 atados/año, consulta por la
presencia de tos crónica con expectoración mucosa y disnea de esfuerzo. Se
hace una espirometría que muestra: CVF= 3500 ml (Esperado de 3800 ml); VEF
1=2100 ml (60% esperado); VEF 1 Post Broncodilatador= 2200 ml (porcentaje
de broncodilatación 5%). ¿Cuál es su interpretación?
a) Asma crónica severa persistente
b) Respuesta normal, se trata de una bronquitis crónica no obstructiva.
c) EPOC moderado.
d) EPOC grave.
70)Si una paciente adulta joven consulta por flujo vaginal con exacerbación
post-mentrual, puede ser originado más frecuentemente por:
a) Candida albicans.
b) Gonococo.
c) Tricomonas.
d) Complejo GAMM.
71)Existen variantes en las normas acerca de la periodicidad de los controles
que debe recibir un niño en el primer año de vida. ¿Cuál sería el mínimo
imprescindible de controles que el niño debería recibir en esta etapa, según el
Programa Materno Infantil de la Provincia de Buenos Aires?
a) 7 controles
b) 6 controles
c) 5 controles
d) 3 controles
72)En lo que se refiere a la apendicitis aguda en pediatría solo uno de los
siguientes conceptos es correcto:
a) En los niños menos de 5 años es menos frecuente la cronología de Mc
Burney.
b) La perforación es más frecuente en adultos y adolescentes que en niños
preescolares.
c) Los niños pequeños se complican menos porque la evolución es lenta y el
diagnóstico se realiza precozmente.
d) La apendicitis es la patología abdominal quirúrgica más frecuente de los
recién nacidos y lactantes.
73)En las fracturas supracondíleas del codo de los niños, la complicación más
temida es:
a) Lesión del nervio mediano.
b) Lesión del nervio cubital.
c) Consolidación viciosa.
d) Síndrome isquémico.
74)A una paciente portadora de Artritis Reumatoide se le detecta un derrame
pleural que se punza y envía a analizar. ¿Cuál de las siguientes posibilidades
implicaría que el derrame es por la pleuritis de la artritis reumatoide?
a) Glucosa alta – Complemento normal – LDH elevada.
b) Glucosa normal – Complemente elevado – LDH normal.
c) Glucosa baja – Complemento bajo – LDH normal.
d) Glucosa baja – Complemento bajo – LDH elevada.
75)En el tratamiento inicial de la lumbalgia aguda sin radiculopatía, está
indicado como primera elección uno de los siguientes fármacos:
a) Glucocorticoides.
b) Reposo absoluto por tres días.
c) Antiinflamatorios no esteroideos.
d) Fisioterapia.
76)La rigidez cadavérica o “rigor mortis” es un estado de retracción de la
musculatura lisa estriada que le otorga al cadáver una actitud de envaramiento.
Con respecto a la duración de la fase de “instauración”, clásicamente se indica
que el tiempo en que ésta se produce es entre las:
a) 1 a 2 hs.
b) 2 a 14 hs.
c) 14 a 24 hs.
d) 26 a 36 hs.
77)Un riesgo relativo (RR) igual a 1 significa:
a) Existe una relación positiva entre la presencia del factor y la ocurrencia de la
enfermedad.
b) Estamos en presencia de un factor de protección.
c) La incidencia de la enfermedad no dependería del factor.
d) La prevalencia de la enfermedad se asocia con la presencia del factor.
78)El Helicobacter Pylori es un microorganismo microaerófilo que se relaciona
con varias afecciones en aparato digestivo. La necesidad de erradicación es un
tema de controversia. ¿Cuáles son indicaciones de erradicación de este
germen?:
a) Pacientes con úlcera péptica, dispepsia no ulcerosa, linfoma gástrico MALT.
b) Pacientes con úlcera péptica, linfoma gástrico MALT, esofagitis por reflujo.
c) Pacientes con úlcera péptica, linfoma gástrico MALT.
d) Pacientes con úlcera péptica, dispepsia no ulcerosa, esofagitis por reflujo,
uso de antiinflamatorios.
79)¿A qué edades se presentan con mayor frecuencia los tumores malignos del
ovario?
a) Pacientes de 20 a 30 años.
b) Pacientes de 30 a 40 años.
c) Pacientes de 45 a 50 años.
d) Pacientes mayores de 55 años.
80)¿Cuándo considera aprobada la prueba cócleo-palpebral para la evaluación
del desarrollo?
a) Si al producir el ruido, el niño llora.
b) Si al producir el ruido, el niño mira hacia el lugar donde proviene el mismo.
c) Si al producir el ruido, el niño pestañea.
d) Si al producir el ruido, el niño no responde.
81)G.N., niño de 1 año de edad que es llevado a la consulta por “agitación”,
palpitaciones, dolor precordial de aparición brusca y llanto persistente. Es un
niño previamente sano. Al examen físico: niño eutrófico, excitado, impresiona
“pálido”. Frecuencia respiratoria 28x´. Afebril. Frecuencia cardíaca mayor a 200
latidos por minuto, aparentemente regular. Se auscultan los dos ruidos
cardíacos, siendo imposible discriminar la presencia de ruidos agregados. Sin
hepatopesplenomegalia. Resto del examen físico normal. Su diagnóstico
presuntivo es:
a) Fibrilación auricular.
b) Taquicardia paroxística supraventricular.
c) Extrasístolia ventricular.
d) Bloqueo auriculoventricular de 2do grado.
82)El síndrome escafoides se caracteriza por:
a) Dolor en la tabaquera anatómica con Rx donde se observa la fractura de
escafoides.
b) Dolor en la tabaquera anatómica con Rx donde no se observa la fractura de
escafoides.
c) Dolor en la tabaquera anatómica, en el tubérculo del escafoides y en la
estiloides radial.
d) Antecedente traumático con dolor no específico en la articulación de la
muñeca.
83)En un paciente con una hiperkalemia asociada a acidosis metabólica,
¿cuánto demora el bicarbonato suministrado en reducir la potasemia por
reintroducción del mismo al espacio intracelular?
a) Media hora.
b) Dos horas.
c) Cuatro horas.
d) Seis horas.
84)En el estudio de una anemia del adulto ud. encuentra en los resultados del
laboratorio un índice de producción de reticulocitos > 2.5. ¿Cuál de las
siguientes es la causa más probable de ello?
a) Déficit de hierro.
b) Talasemia.
c) Neuropatía.
d) Hemorragia.
85)Una de las siguientes es la definición correcta de Imprudencia:
a) Falta de habilidad, conocimientos o práctica de un arte, ciencia u oficio.
b) Falta de aplicación o descuido en la ejecución de un acto o tarea.
c) Temeridad, ligereza o falta de moderación, ante un resultado dañoso que se
estime posible pero no querido.
d) Incumplimiento de una exigencia verbal o escrita dispuesta para la
prevención de un daño originada por un superior responsable.
86)Según el documento elaborado por la Asociación Latinoamericana de
Medicina Social (ALAMES), en el esquema planteado por la Comisión de
Determinantes Sociales de la Salud, el sistema de salud es:
a) Un determinante social estructural.
b) Un determinante social intermediario.
c) Un determinante sociocultural.
d) Un determinante sociopolítico.
87)El síndrome de asa ciega cursa habitualmente con diarrea, esteatorrea y
anemia. La anemia de estos pacientes es:
a) Normocítica-normocrómica.
b) Microcítica-ferropénica.
c) Macrocítica por falta de cobalamina.
d) Macrocítica por falta de folato.
88)Al efectuar un control ginecológico a una paciente de 38 años, en el
Papanicolaou se informa una citología sospechosa o positiva y al efectuar la
colposcopía es negativa. ¿Qué le indicaría a dicha paciente?:
a) Continuar con su control periódico.
b) Realizar una conización.
c) Realizar un raspado endocervical.
d) Realizar una histeroscopía.
89) Juan concurre al consultorio para su control a los 18 meses. Presenta un
crecimiento paralelo al percentilo 3. Se observa que nombra solo imágenes y en
la escritura imita el trazo vertical. Desde el punto de vista motor se agacha y se
levanta con sostén y corre con rigidez. Juega solo. Ante esta situación, ¿qué
conducta se adopta?
a) Se recomienda estimulación temprana en hospital especializado.
b) Se interconsulta con Neurología del hospital inmediatamente.
c) Se solicita control en 15 días con especialista.
d) Se considera que el niño presenta un crecimiento y desarrollo normal.
90) G.G., lactante de 9 meses de edad. Eutrófico. Motivo de consulta: diarrea y
vómitos. Cuadro de tres días de evolución con deposiciones acuosas, frecuentes
(7 a 8 por día) y disminución de la diuresis. Recibe té desde el inicio del
episodio. La madre lo nota decaído, con somnolencia. Se agregan vómitos en
las últimas 24 hs. El último peso es de hace 7 días: 7.500 gr. Examen físico:
regular a grave estado general, afebril, frecuencia cardíaca: 148 x´, frecuencia
respiratoria: 50 x´, polipneico. Fontanela hipotensa. Signo de pliegue positivo,
enoftalmos acentuado. Sensorio deprimido. Peso: 6.750 gr. Vómitos reiterados
(4) al ingreso. En el análisis de esta situación clínica, solo uno de los siguientes
enunciados es correcto:
a) Que el paciente referido presenta una gastroenteritis aguda que determina
una deshidratación aguda, grave, hipotónica, con acidosis metabólica.
b) Que el objetivo terapéutico principal es tratar con antibióticos de amplio
espectro la probable infección gastrointestinal.
c) Que sería necesario realizar una expansión de volumen rápidamente
incluyendo bicarbonato de sodio endovenoso para compensar la acidosis.
d) Que al tratamiento de sostén se le debe aportar corticoides por la posibilidad
de un compromiso meníngeo asociado.
91)¿Cuál es el principio por el cuál se aconseja operar lo antes posible una
fractura de cadera en los pacientes ancianos?
a) Acelerar el proceso de consolidación de la fractura.
b) Evitar las complicaciones generales permitiendo la movilización precoz del
paciente.
c) Comenzar lo antes posible la rehabilitación de la cadera.
d) Disminuir el riesgo de necrosis de la cabeza femoral.
92)En un paciente diabético tipo 1 luego de compensarlo con insulina regular se
plantea un esquema de insulina intensificado. ¿Cuál de los siguientes semeja
más adecuadamente a la producción pancreática?
a) Insulina lispro en cada comida.
b) Insulina lispro en cada comida más una dosis de insulina glargina.
c) Insulina corriente más NPH por la mañana y por la noche.
d) Insulina NPH por la noche y corriente en desayuno, almuerzo y cena.
93)¿Cuál de las siguientes características electrocardiográficas corresponde a un
bloqueo sinusal de segundo grado tipo I?
a) Alargamiento progresivo del intervalo P-R y luego pausa.
b) Alargamiento progresivo del intervalo R-R y luego pausa.
c) No hay modificación del intervalo P-R antes de la pausa.
d) No hay ondas P.
94)Las contusiones son la resultante del golpe o choque con o contra cuerpos o
superficies duras. Dentro de ellas las equimosis se caracterizan por producirse
sin ruptura de la piel pero con destrucción de los vasos de la dermis
ocasionando una infiltración hemática intersticial y localiza. Su antigüedad
puede establecerse según sus cambios de color. ¿Qué color debería tener hoy
una lesión producida entre 7 y 14 días atrás?
a) Azul negruzco.
b) Azulado.
c) Verdoso
d) Amarillento
95)Maglio en “Determinantes Sociales de la salud y la enfermedad”, sostiene
que desde la antropología médica crítica la salud-enfermedad-atención es:
a) Un proceso de construcción social.
b) Un estado social.
c) Un concepto ahistórico.
d) Un concepto que pone el énfasis en los niveles de atención.
96)Con respecto al Estafilococo Aureus meticilino resistente de la comunidad
(SAMR-C):
a) La resistencia a meticilina es un producto del desarrollo de Beta-Lactamasa.
b) Es resistente además a clindamicina y minociclina.
c) Es sensible a trimetroprima-sulfametoxasol.
d) En forma característica no produce enfermedad en individuos
inmunocompetentes.
97)Si ud. diagnostica una endometrosis y quiere lograr, con la terapéutica
empleada, un estado de seudo menopausia, ¿qué droga utilizaría?
a) Acetato de noretisterona.
b) Asociación de estrógenos-gestágenos.
c) Análogos agonistas LH-RH.
d) Bromoergocriptina.
98)El reflejo tónico cervical asimétrico le posibilita al bebé:
a) Pasar un objeto de una mano a otra.
b) Tomar un objeto.
c) Mirar su mano.
d) Prender un objeto a mano llena.
99)Según la Dirección de Estadísticas e Información en Salud del Ministerio de
Salud y Ambiente de la Nación, ¿cuál es la segunda causa de mortalidad
materna en la República Argentina?
a) Sepsis.
b) Abortos.
c) Trastornos hipertensivos.
d) Hemorragias.
100) ¿Qué lesiones ligamentarias de la rodilla se evidencian cuando las
maniobras de valgo forzado (bostezo interno) y cajón anterior son
evidentemente positivas?
a) Lesión de ligamento colateral medial y del ligamento cruzado anterior.
b) Lesión de ligamento colateral medial y del ligamento cruzado posterior.
c) Lesión de ligamento colateral lateral y del ligamento cruzado anterior.
d) Lesión de ligamento colateral lateral y del ligamento cruzado posterior.
Respuestas
1. C
2. A
3. C
4. C
5. A
6. A
7. C
8. A
9. D
10. D
11. C
12. A
13. A
14. C
15. A
16. A
17. C
18. B
19. C
20. B
21. C
22. D
23. B
24. C
25. B
26. C
27. D
28. C
29. C
30. C
31. C
32. C
33. D
34. B
35. A
36. A
37. A
38. A
39. B
40. D
41. B
42. C
43. C
44. C
45. A
46. D
47. C
48. B
49. B
50. B
51. B
52. A
53. B
54. D
55. C
56. C
57. D
58. D
59. C
60. B
61. B
62. B
63. A
64. B
65. D
66. C
67. A
68. B
69. C
70. C
71. A
72. A
73. D
74. D
75. C
76. B
77. C
78. C
79. D
80. C
81. B
82. B
83. C
84. D
85. C
86. B
87. C
88. C
89. D
90. A
91. B
92. B
93. A
94. C
95. A
96. C
97. C
98. C
99. B
100. A
Anexo







